Mobirise

Ακίνητες συσκευές (brackets)

Αποτελούν την πιο σίγουρη και αποτελεσματική μέθοδο θεραπείας, καθώς δεν απαιτούν την συνεχή συνεργασία του ασθενούς. Στο τέλος της θεραπείας οι ασθενείς λαμβάνουν σταθερή συγκράτηση, κινητούς νάρθηκες συγκράτησης, ένα εκμαγείο τρισδιάστατης εκτύπωσης του τελικού τους αποτελέσματος καθώς και το αρχείο της ενδοστοματικής σάρωσης του τελικού τους αποτελέσματος στο e-mail τους.
Έτσι ό,τι και να συμβεί θα υπάρχει για πάντα η δυνατότητα εκτύπωσης ναρθήκων που θα διατηρούν ή και θα επανεφέρουν το ορθοδοντικό αποτέλεσμα.                       

Mobirise

Συστηματοποιημένη μέθοδος

Στο ορθοδοντικό μας ιατρείο χρησιμοποιούμε τη πιο σύγχρονη και συστηματοποιημένη μέθοδο ΜΒΤ. Το όνομα προέρχεται από τα αρχικά των δημιουργών της μεθόδου McLaughlin, Bennett και Trevisi. 

Mobirise

Σύρματα Heat Activated Nikel-Titanium

Χρησιμοποιούμε θερμικής ενεργοποίησης σύρματα (Heat activated Cu-Niti). Δηλαδή σύρματα που μπαίνουν σχεδόν παθητικά και σφίγγουν με τη θερμοκρασία καθώς εισέρχονται στο στόμα. Σε αντίθεση με τον μικρό αριθμό αλλαγών συρμάτων από το λεπτότερο στο παχύτερο που προτείνουν οι McLaughlin, Bennett και Trevisi, όλα αυτά τα χρόνια έχουμε αναπτύξει την πεποίθηση πως απαιτούνται προσεκτικές αλλαγές μεγέθους συρμάτων με μικρά βήματα. Έτσι χρησιμοποιούμε περισσότερα σύρματα σε σχέση με τα προτεινόμενα της μεθόδου. Επίσης περιορίζουμε την χρήση σκληρών ατσάλινων συρμάτων στο τέλος της θεραπείεας, μόνο εκεί που είναι άκρως απαραίτητα. Μειώνουμε έτσι τις πιθανότητες για επιβάρυνση των ακρορριζίων των δοντιών. Με όλη αυτή την προσεκτική αλληλουχία εργασιών ο μέσος χρόνος της μηχανοθεραπείας δεν ξεπερνά τους 15-18 μήνες, ιδιαίτερα στους συνεργάσιμους ασθενείς που προσέρχονται πιστά στις συνεδρίες τους.

Mobirise

Αισθητικά υλικά


Μονοκρυσταλλικά κεραμικά αγκύλια και επικαλυμμένα σύρματα κάνουν τους μηχανισμούς πιο διακριτικούς. 

Mobirise

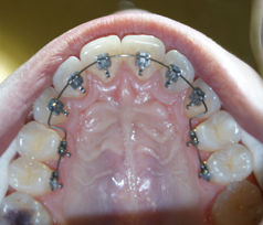
Γλωσσική ορθοδοντική

Μια εναλλακτική προσέγγιση είναι η τοποθέτηση των μηχανισμών στο πίσω μέρος των δοντιών.                          

Mobirise

Εργοστάσια παραγωγής ορθοδοντικών μηχανισμών


Άποψη εργοστασίου παραγωγής ορθοδοντικών μηχανισμών στις ΗΠΑ που αποτελεί έναν από τους κύριους προμηθευτές του ορθοδοντικού ιατρείου.

Ακολουθεί περιστατικό που θεραπεύσαμε με συνδυασμό ορθοδοντικής με ορθογναθική χειρουργική (Συνεργασία με www.faceandjaw.gr)



Ακολουθεί περιστατικό που θεραπεύσαμε με εξαγωγές τριών μονίμων δοντιών και ενός νεογιλού


Mobirise